DU bist in der sonnigen Metropole Palma de Mallorca und brauchst einen zuverlässigen Zahnarzt, der dir mit Expertise zur Seite steht. Mallorca Dentists in der Carrer de Porto Pi ist genau der richtige Ort für dich. Diese Praxis verbindet moderne Zahnmedizin mit dem entspannten Flair der Insel und sorgt dafür, dass du dich wohlfühlst, während du deine ZahnGesundheit pflegst. Ob du als Tourist unterwegs bist oder hier lebst – hier findest du professionelle Betreuung, die auf deine Bedürfnisse abgestimmt ist. Die zentrale Lage im Ponent-Viertel macht es einfach, die Praxis zu erreichen, sei es zu Fuß oder mit dem Auto.
Was macht Mallorca Dentists so besonders? Die hochgelobte Qualität der Behandlungen zieht viele Besucher an, die von der freundlichen Atmosphäre und der präzisen Arbeit überzeugt sind. Als Zahnarzt in Palma bietet die Praxis ein breites Spektrum an Services, von Routineuntersuchungen bis hin zu kosmetischen Eingriffen. Besonders hervorzuheben ist der barrierefreie Eingang, der es allen Besuchern ermöglicht, bequem einzutreten, unabhängig von Mobilitätseinschränkungen. Das Team setzt auf aktuelle Technologien, wie digitale Röntgenaufnahmen, um dir schnelle und genaue Diagnosen zu liefern. Moderates Preisniveau sorgt dafür, dass qualitativ hochwertige Pflege erschwinglich bleibt, ohne Kompromisse bei der Sorgfalt einzugehen.
Das Ambiente in der Praxis ist einladend und beruhigend, fernab von sterilen Klinikklischees. Du betrittst einen hellen Raum mit warmen Farbtönen, der an die mediterrane Lebensweise erinnert – vielleicht mit einem Hauch von Meeresbrise durch die offenen Fenster. Die Wartezone ist gemütlich eingerichtet, mit bequemen Sitzmöbeln und aktuellen Magazinen über Mallorca. Hier fühlst du dich nicht wie bei einem Arztbesuch, sondern wie bei einem Gespräch mit vertrauten Fachleuten. Die Zahnärzte nehmen sich Zeit für deine Fragen und erklären alles verständlich, damit du dich sicher und informiert fühlst. Viele Patienten berichten von einer entspannten Stimmung, die Ängste vor dem Zahnarztbesuch minimiert.
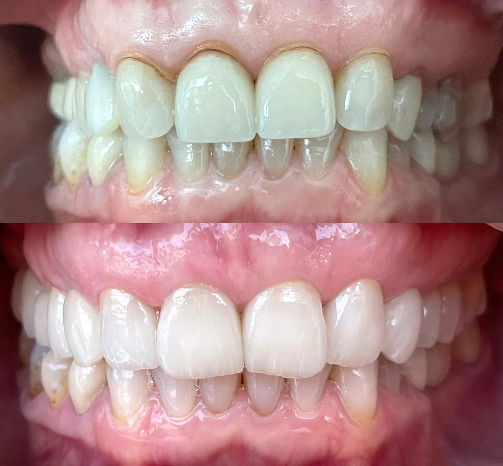
Zu den konkreten Angeboten zählen umfassende Zahnprophylaxe, Füllungen, Wurzelbehandlungen und sogar Bleaching für ein strahlendes Lächeln. Als Arzt mit Fokus auf Zahnmedizin integriert die Praxis präventive Maßnahmen, die langfristig deine Zahngesundheit schützen. Der rollstuhlgerechte Zugang ist ein großer Pluspunkt, der Inklusion fördert und sicherstellt, dass niemand benachteiligt wird. Öffnungszeiten sind flexibel, oft mit Terminen außerhalb der Kernzeiten, passend zum Leben auf der Insel. Zusätzlich gibt es Beratungen zu Mundhygiene, die speziell auf den salzhaltigen Wind von Mallorca abgestimmt sind, um Erosion zu vermeiden. Alles wird mit sterilen Instrumenten und höchsten Hygienestandards durchgeführt.
Diese Praxis eignet sich hervorragend für Familien, die eine kinderfreundliche Umgebung suchen, oder für Paare, die gemeinsam check-ups machen möchten. Geschäftsreisende schätzen die schnellen Termine in der Nähe des Stadtzentrums, während Alleinreisende die persönliche Betreuung genießen. Egal ob du aus Deutschland kommst oder international unterwegs bist – das mehrsprachige Team macht die Kommunikation unkompliziert. Viele Stammgäste aus der lokalen Community und Touristen wählen Mallorca Dentists als ihre erste Adresse für zahnmedizinische Bedürfnisse in Palma. Die Vielfalt der Patienten zeigt, wie inklusiv und anpassungsfähig der Service ist.
Ein Insider-Tipp: Plane deinen Besuch vor oder nach einem Spaziergang durch den lebendigen Ponent-Markt, um den Tag optimal zu nutzen. Die Praxis ist eine beliebte Wahl unter Einheimischen, die die Zuverlässigkeit und das herzliche Service loben. Wenn du in Palma bist und deine Zähne in Topform halten möchtest, komm vorbei – du wirst dich willkommen fühlen. Vereinbare einfach einen Termin und erlebe, wie Mallorca Dentists dein Lächeln aufpoliert, während du die Schönheit der Insel genießt. Dein Wohlbefinden steht im Vordergrund, und das spürt man in jedem Detail.
Noch keine Bewertung über MallorcaMap, teile deine Bewertung zuerst.


