Nestled in the heart of Palma on Calle de la Llibertat, Clínica Dental Llibertat stands as a trusted pillar in dental health and medicine on Mallorca. If you're seeking reliable dentist services amid the vibrant island life, this clinic offers a welcoming space where professional care meets personalized attention. With its prime location in the Ponent area, it's easily accessible for locals and visitors exploring Palma's historic streets.
What sets Clínica Dental Llibertat apart is its commitment to comprehensive dental health solutions tailored to your needs. From routine check-ups to advanced treatments, the experienced team ensures every visit leaves you feeling confident and comfortable. Highly regarded for their thorough approach, they prioritize patient education, explaining procedures in a way that demystifies dental care. Whether you're dealing with preventive maintenance or restorative work, the clinic's modern facilities make the experience smooth and efficient. Their focus on dentist expertise shines through in every interaction, building lasting trust among Mallorca's community.
Step into Clínica Dental Llibertat, and you'll immediately sense the calm, professional atmosphere that defines this Palma gem. The clinic's bright, contemporary interior creates a soothing environment, far removed from the sterile feel of traditional dental offices. Imagine arriving after a leisurely stroll through Palma's bustling markets, only to find a serene oasis dedicated to your well-being. The staff's warm greetings and attentive service add to the inviting vibe, making even the most routine appointment feel like a positive step toward better health. It's this blend of comfort and competence that keeps patients returning, drawn by the genuine care that permeates every corner.
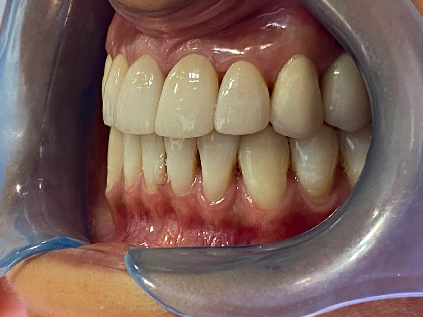
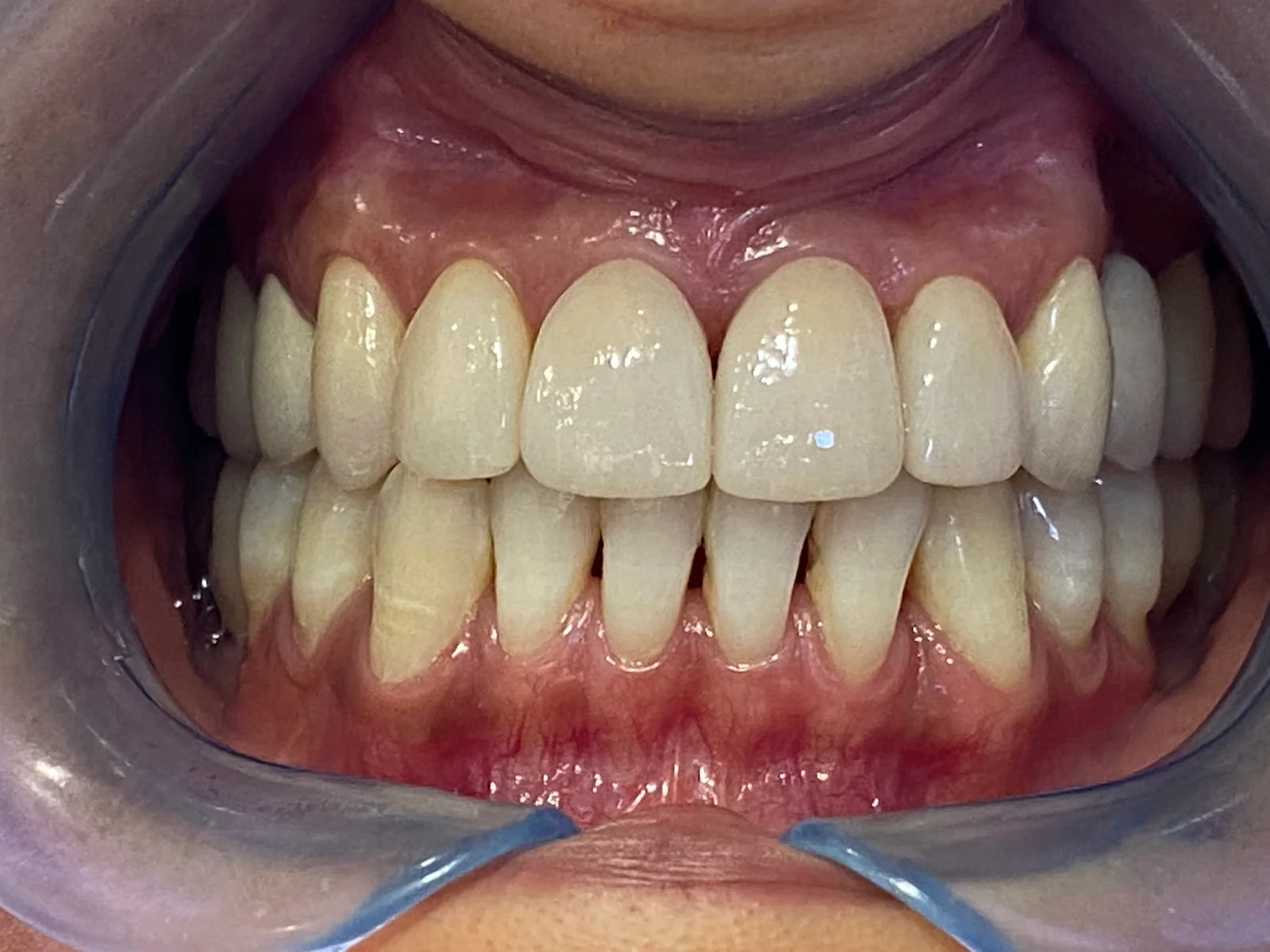
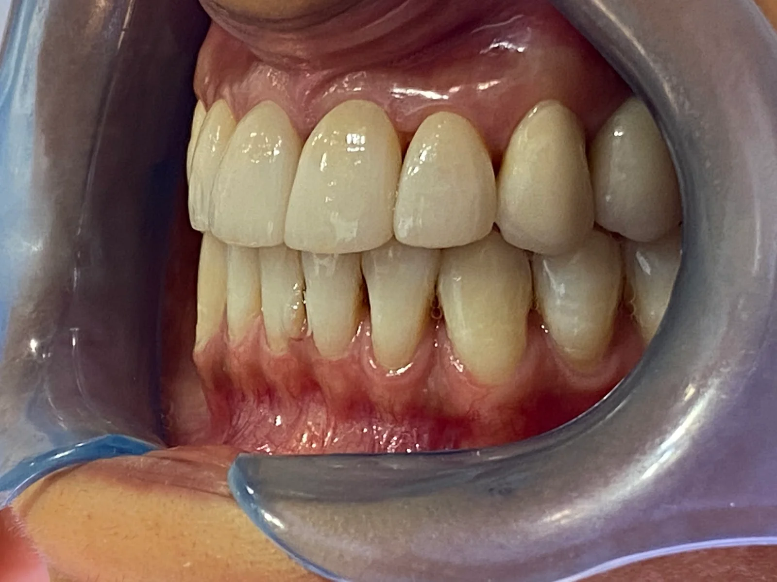
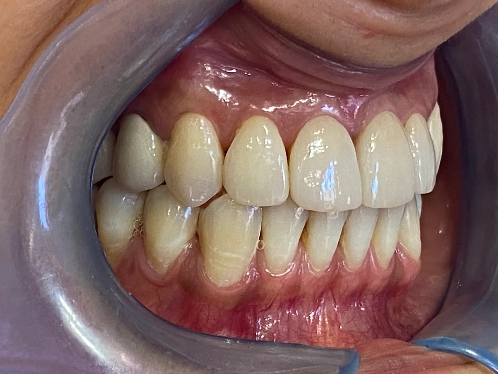
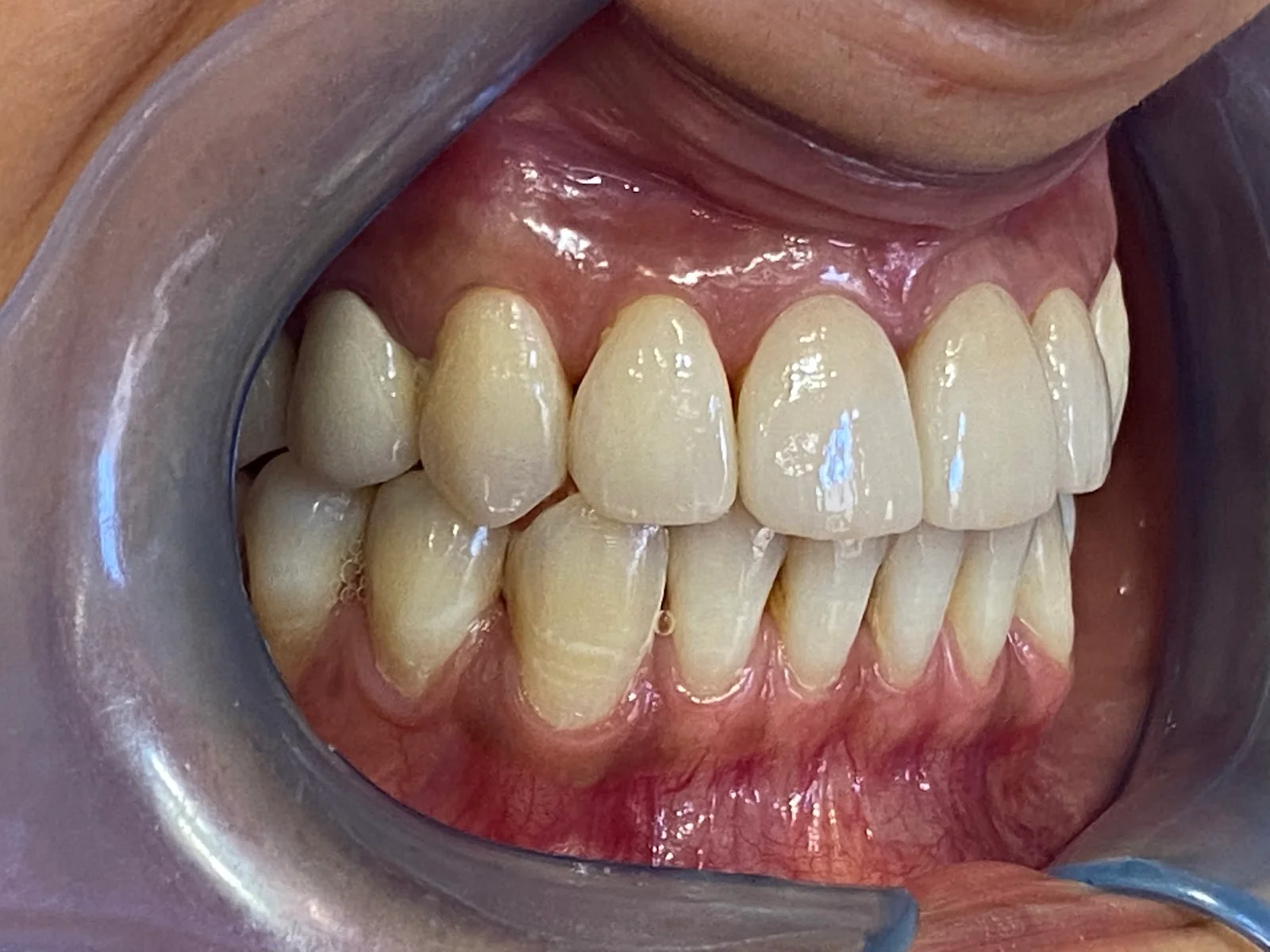
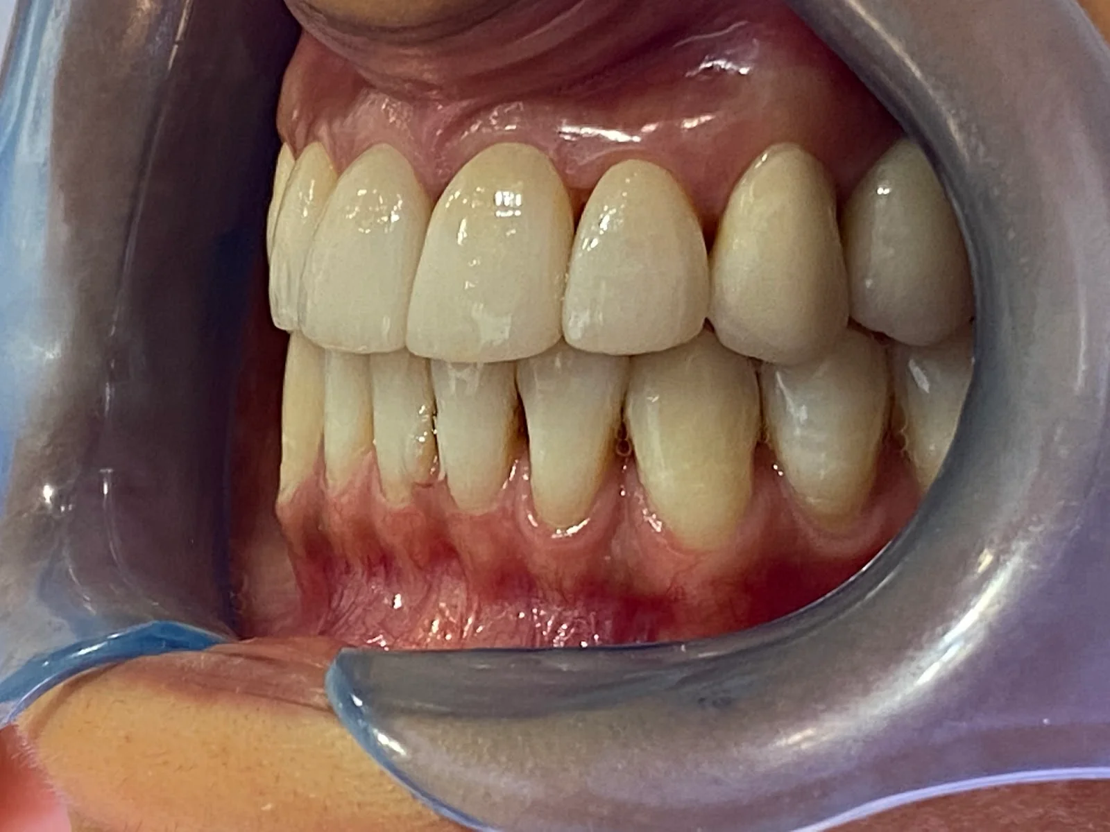
At Clínica Dental Llibertat, the range of dental services covers everything from cleanings and fillings to cosmetic enhancements and emergency care. Though specific offerings evolve with patient demands, you can expect high-quality options like teeth whitening, orthodontics, and implant consultations, all delivered with precision. The clinic emphasizes preventive health and medicine strategies, helping you maintain optimal oral health amid Mallorca's sunny lifestyle. Practical perks include flexible scheduling to fit your island adventures and a moderate price level that makes quality care accessible without breaking the bank. For those traveling, they accommodate quick visits, ensuring you leave with a healthy smile ready for beach days or city explorations.
This clinic appeals to a wide array of visitors, making it ideal for families settling into Mallorca life, couples enjoying romantic getaways, or business travelers needing discreet, efficient services. Parents appreciate the gentle handling for children's dental needs, fostering good habits early on. Active islanders find value in sports-related mouthguards and injury treatments, while retirees value the ongoing support for long-term dental health. No matter your background, the team's adaptability ensures everyone feels seen and supported, turning potential anxiety into empowerment.
For an insider tip, consider booking your appointment during Palma's quieter mornings to enjoy a more relaxed session with extra time for questions. Clínica Dental Llibertat isn't just a dentist in Palma—it's a partner in your health journey on Mallorca. Swing by and experience the difference; your smile will thank you as you continue discovering the island's charms.
No reviews on MallorcaMap yet, be the first to share your review.


